Our Story
A Small Lab With a Big Commitment to Your Success
We’re not aiming to be the biggest, we’re here to be the most reliable lab you’ve ever worked with.
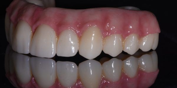
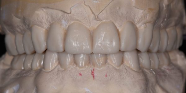
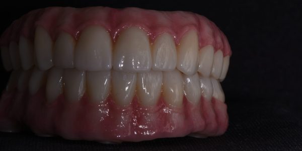
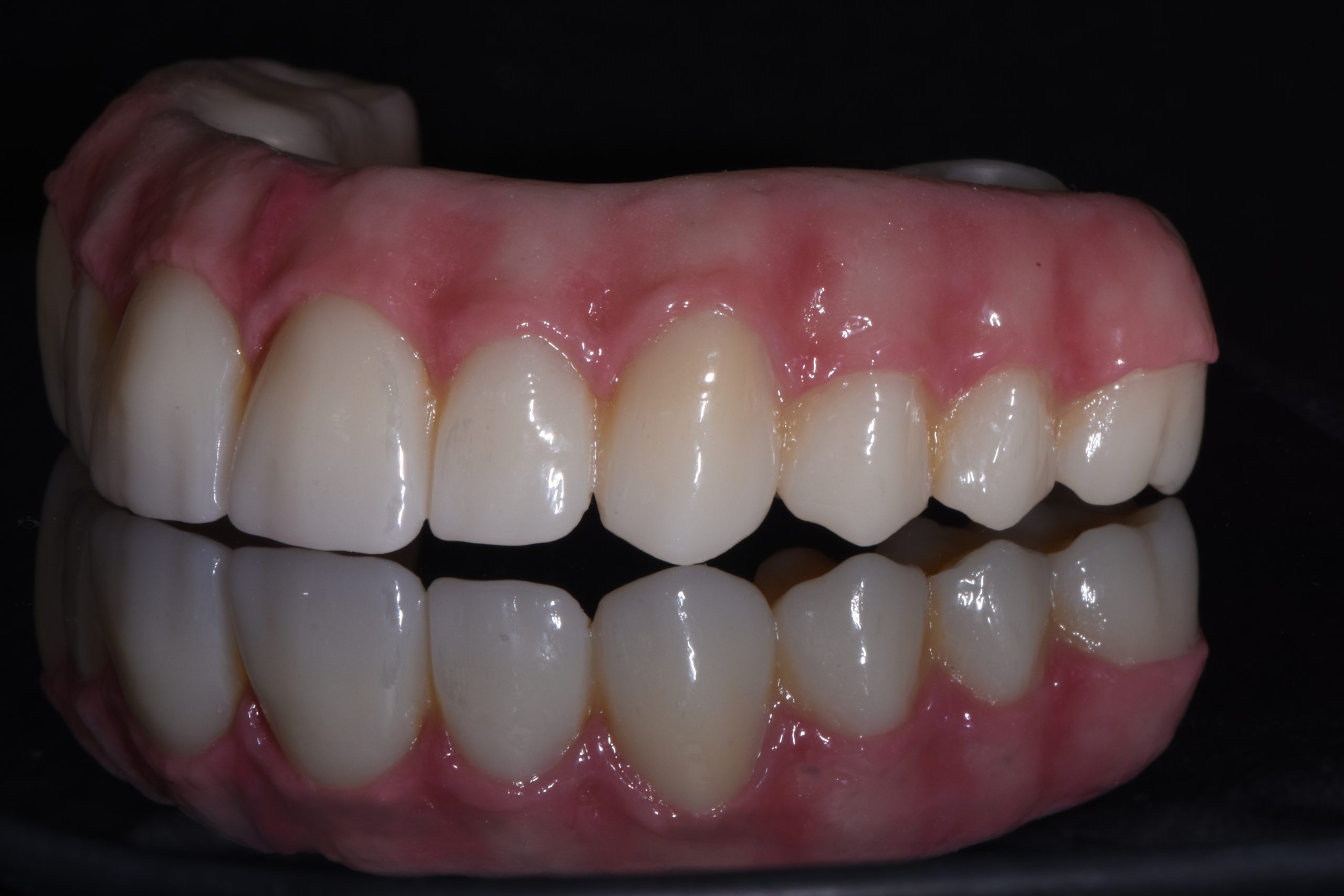
Since 2003, we’ve helped restorative dentists and prosthodontists deliver confident results through restorations that just fit, clinically, digitally, and aesthetically. Led by owner-technician Jay Gomer, our team brings together decades of experience with an ongoing commitment to continuing education in occlusion, full-arch workflows, and bite therapy.
What Makes Us Different
- Small by design, personal by default.
- Under 2% remake rate because precision matters.
- Powered by Exocad and 3Shape for CAD/CAM excellence.
- 100% U.S.-made no outsourcing, ever.
- Talk directly to our techs no bots, no wait times.
- We adapt to your workflow, not the other way around.
- Fast, clear, reliable communication always.
Jay Gomer, CDT
With over 35 years of experience, Jay has worked in some of the most distinguished laboratories in the Southeast, and trained under many highly esteemed and celebrated technicians and clinicians from around the world. Jay has completed many hours of occlusion focused and advanced restorative courses from greats like Dr. Pete Dawson, Dr. John Kois, Dr. Frank Spear and Dr. Terry Tanaka. He is also a graduate student of OBI, the Foundation for Bioesthetic Dentistry, an extensive hands-on course series of which only 55 technicians, internationally have completed. Jay is married and lives with his wife and daughter in Winder. Together they enjoy driving race cars, motorcycles, saltwater fishing and just about anything outdoors.

















