Advanced Occlusal Therapy Solutions

Diagnostic Wax-ups & Digital Smile Design (DSD)
Emphasize predictability and patient communication.

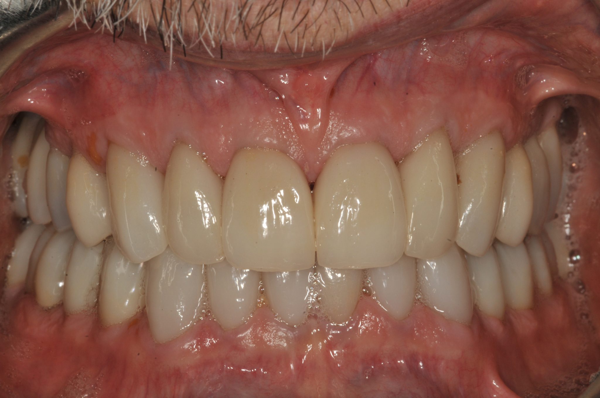
Full Arch Rehabilitations
Focus on complex cases, VDO, CR.

Splints & Orthotics
Custom-designed for specific occlusal issues.
Clinical Support & Education

Custom Abutments & Screw-Retained Solutions
For implant cases, highlighting precise fit and emergence profiles.

Material Science Expertise
Discuss the specific high-quality materials you work with (e.g., e.max, zirconia, PEEK) and why they are suitable for occlusal cases.
Offer resources or consultation for dentists on specific occlusal challenges or digital integration.
Digital Workflow Integration
- Intraoral Scan Reception: How dentists can seamlessly send cases.
- CAD/CAM Design & Milling: Detail your process.
- 3D Printing for Models & Guides: Accuracy and efficiency benefits.
- Digital Case Planning & Communication: How you collaborate virtually.