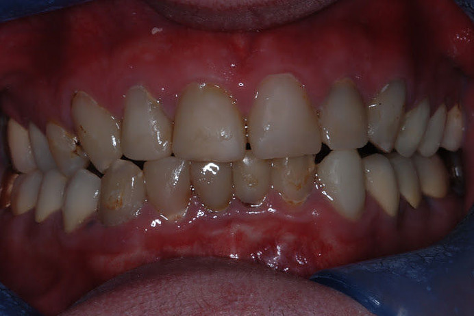
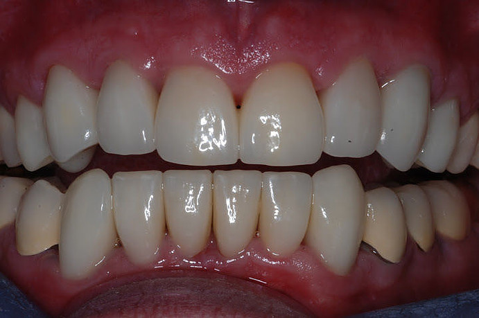
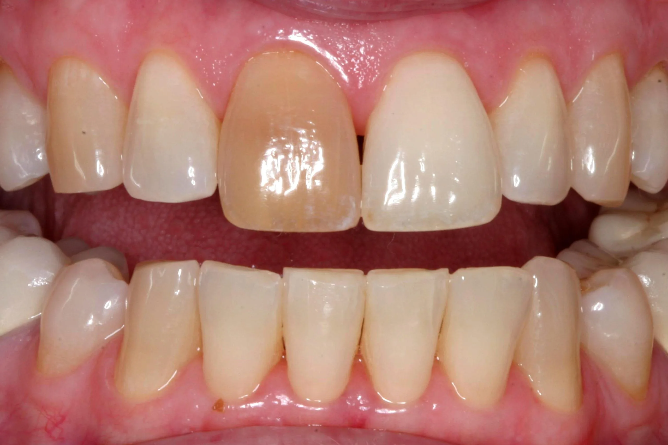
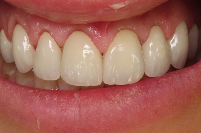
E. MAX Restoration


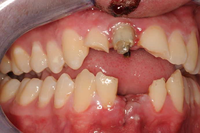
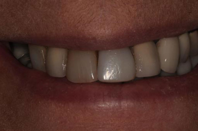
Before
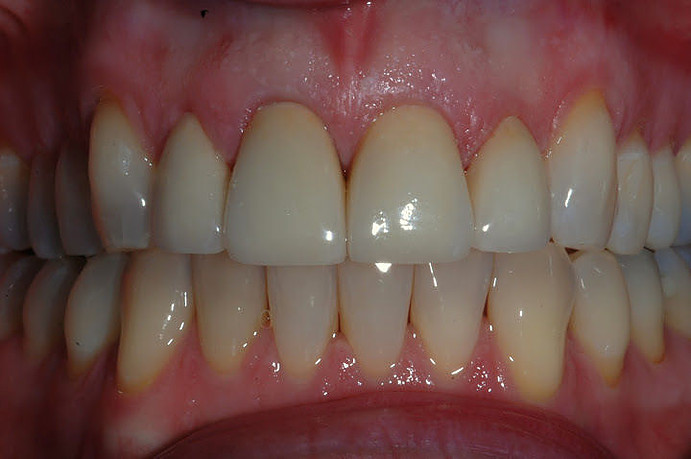
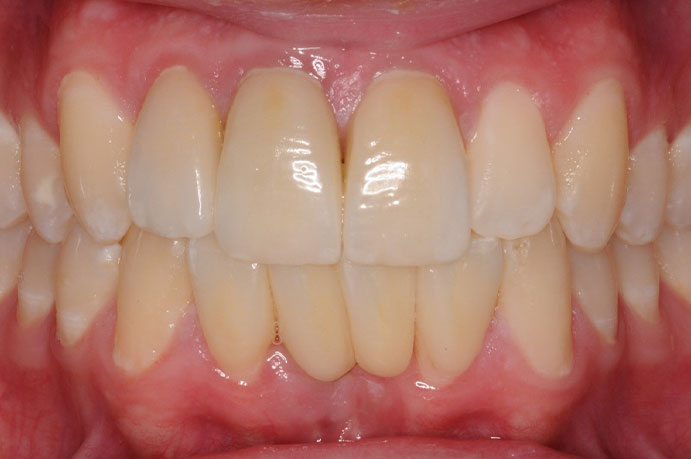
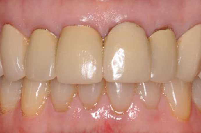
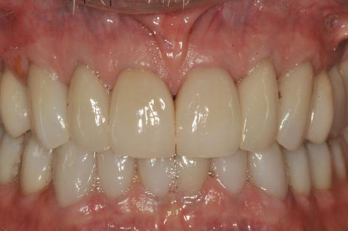
After


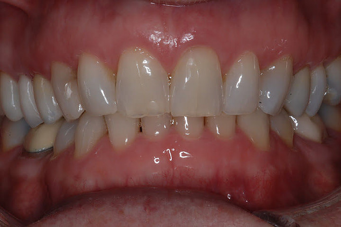
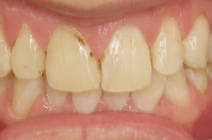
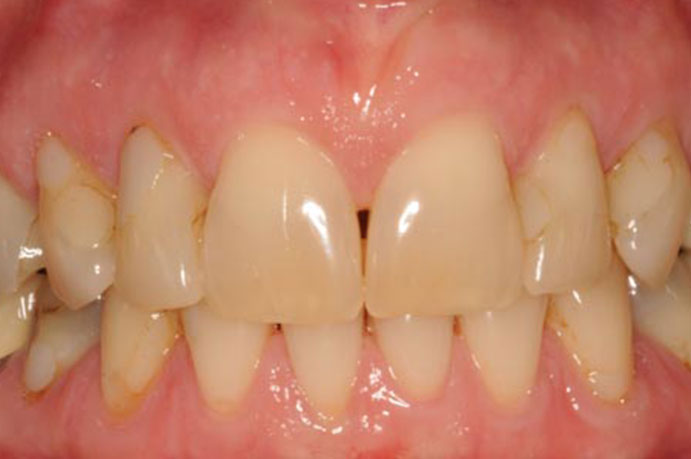
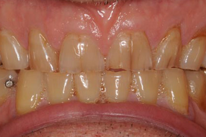
Before
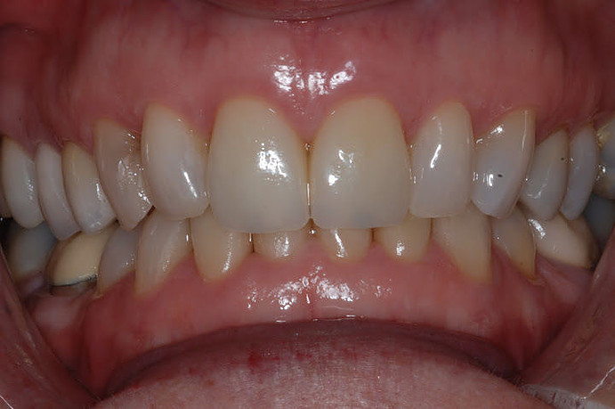
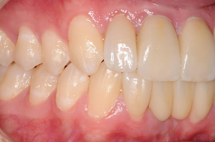
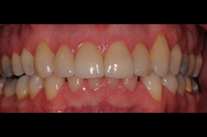
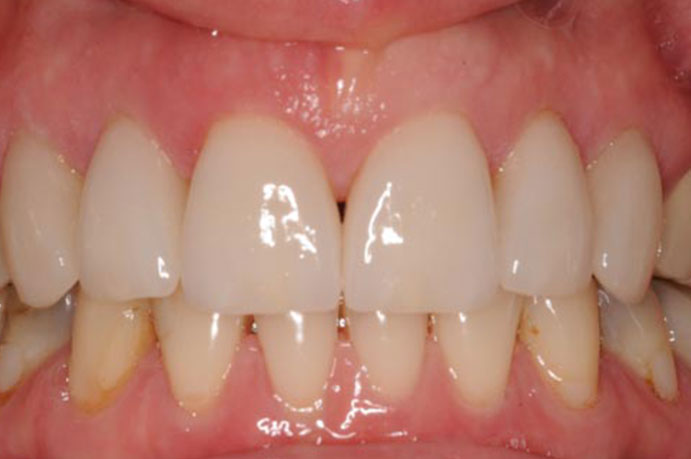
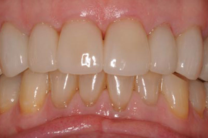
After
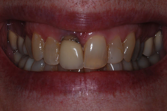
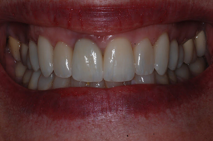
E. MAX Restoration


Before
After


Before
After
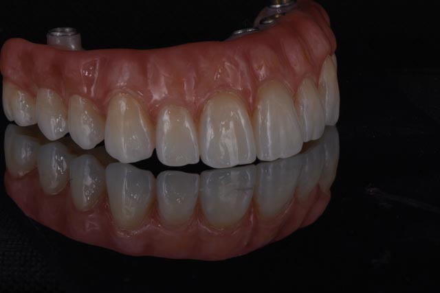
Porcelain Fused to Zirconia


Before
After
E. MAX Restoration


Before
After


Before
After


Before
After


Before
After


Before
After


Before
After


Before
After


Before
After


Before
After


Before
After


Before
After